是我们体内适应性免疫的核心角色,能够通过 T 细胞受体(TCR)识别并攻击癌细胞、病毒感染的细胞等目标。基于 T 细胞的过继免疫疗法(例如 CAR-T、TCR-T 细胞疗法)已在的治疗中取得显著成效。但这类疗法面临两大瓶颈:一是抗原特异性 T 细胞在体外扩增数量有限且容易耗竭;二是难以大量富集具有抗癌特异性的 T 细胞,而非特异性 T 细胞会“滥竽充数”。这导致疗法成本高昂且效果不稳定。
该研究利用化学重编程技术,成功将人类 T 细胞高效重编程为多能干细胞,并再分化为年轻的、具有抗癌特异性的 T 细胞。这一突破有望解决当前免疫治疗中 T 细胞来源有限、易耗竭的难题,为“现货型” T 细胞疗法铺平道路。

在这项最新研究中,研究团队尝试将抗原特异性 T 细胞“还原”为多能干细胞(PSC)。多能干细胞具有无限自我更新能力,能够再分化为任何细胞类型。这就像让一名高度专业但已衰老的老兵“返老还童”成为新兵,既能无限复制,又能重新训练成更强的战士。
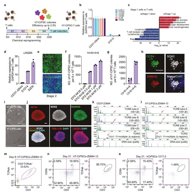
然而,传统方法使用转录因子进行重编程的效率太低,尤其对人类 T 细胞几乎难以实现。该研究独辟蹊径,采用纯化学小分子重编程——仅通过药物组合调控细胞状态,无需导入外源基因,更安全可控。邓宏魁团队曾用此方法成功重编程小鼠和人类细胞,此次首次针对终末分化的 T 细胞进行优化。
关键突破点:研究团队发现,T 细胞身份极其稳定,能够抵抗重编程。通过筛选,他们加入一种名为 EPZ6438 的 EZH2 抑制剂(靶向表观遗传调控蛋白),成功瓦解了 T 细胞的“防御机制”,使其转变为上皮样细胞,并激活多星空体育网站 星空体育首页能性基因。
重编程过程分阶段进行:早期阶段用小分子“鸡尾酒”(含 EZH2 抑制剂)诱导 T 细胞聚团并丧失 T 细胞特征;后续阶段激活多能性基因,最终获得 T 细胞来源的多能干细胞(简称为 hT-CiPS 细胞)。该方法效率惊人——每 8 万个 T 细胞可产生数百个干细胞克隆,远超传统方法。

这些hT-CiPS细胞不仅形态、基因表达与人类胚胎干细胞高度相似,更重要的是,它们完整保留了原始 T 细胞的 TCR 基因重排。TCR 相当于 T 细胞的“特异性身份证”,决定了其识别何种抗原。研究团队证实,每个 hT-CiPS 细胞系都有独特的 TCR 重排峰,说明它们源自不同的 T 细胞,意味着该方法能大规模捕获 T 细胞库的多样性。
更令人振奋的是,hT-CiPS 细胞可高效再分化为 T 细胞。研究团队使用基质细胞培养系统,模拟体内发育环境,成功获得表达 TCR 的 CD3+ T 细胞,且分化效率高于其他来源的干细胞。测序显示,新生成的 T 细胞中 99.8% 的 TCR 序列与亲本 hT-CiPS 细胞完全一致,证明其特异性得以忠实传承。
多样性保留:能大规模捕获不同 T 细胞的 TCR 多样性,为针对多种癌细胞的“T 细胞库”奠定基础。
可编辑性:hT-CiPS 细胞易于基因编辑,未来可进一步强化其抗癌能力或降低排异反应。
研究团队表示,该技术有望实现“现货型” T 细胞产品的工业化生产——无需从患者体内提取 T 细胞,可直接从干细胞库量产高质量 T 细胞,大幅降低成本和等待时间。总的来说,这项研究不仅展示了化学重编程在调控细胞命运上的强大灵活性,更为再生医学和免疫治疗开辟了新方向。

特别声明:以上内容(如有图片或视频亦包括在内)为自媒体平台“网易号”用户上传并发布,本平台仅提供信息存储服务。
网友在福建农村偶遇15层自建房,惊叹“一家人给自己盖了个小区”,住户:近10年前家族合建,四世同堂住了百余人
马来西亚志愿者:被摧毁的KK园区旁边,一个戒备更森严的3000人园区浮出水面
四川省委常委会召开会议 坚决拥护党中央对包惠涉嫌严重违纪违法进行纪律审查和监察调查的决定
金晨被曝肇事逃逸,品牌方紧急删除直播预告,她代言10多个品牌,3部作品待播!知情人士:保险公司调取监控,发现助理顶包后报案
聚焦两会·教育之声 代表委员热议政府工作报告:新一轮基础教育综合改革引期待
REDMI Turbo 5 Max发布:2199元起 全球首发天玑9500s芯片
REDMI Pad 2 Pro平板发布:内置PC级WPS、CAJ,售价1799元起
