糖尿病患者术后伤口愈合面临严峻挑战:大面积伤口难以愈合、感染风险高、组织再生能力受损,同时伴随血糖控制不佳、血液循环障碍及神经病变等问题。传统疗法常因无法动态适应复杂生理环境而疗效有限,且依赖外部电源或有创操作,进一步增加患者风险。
南京大学宁星空体育网站 星空体育首页兴海教授、周安维博士、徐郁蕊博士团队受电鳗生物电器官启发,成功研发出“形状自适应组织响应粘附贴片”(STRAP)。该绷带集生化粘附、光热响应和压电刺激于一体,通过压电纳米发电机(BTO-np)和光热材料(BP-ns)嵌入功能化纤维基质,形成三层仿生结构。STRAP能快速止血、抑制细菌感染、促进血管神经再生,并在猪肝止血模型、糖尿病鼠/兔伤口模型中验证了其动态适应能力,为术后恢复提供综合解决方案。


STRAP模仿电鳗多层电解器官结构:顶层和底层为压电材料BTO-np与光热材料BP-ns共混的聚己内酯纤维(PCL-NHS),中间层为纯BP-ns纤维。扫描电镜显示纤维均匀分布(平均直径1.56 μm),X射线衍射证实BP-ns(特征峰16.9°、26.5°)和BTO-np(31.1°、44.9°)成功嵌入。三层设计使电输出强度可通过层数灵活调节,适应不同临床需求。

图1 电鳗启发的生化-光热-压电协同生物电机械绷带 (A) 糖尿病术后伤口愈合的临床挑战;(B) STRAP的仿生设计:多层结构整合BTO-np和BP-ns;(C) STRAP治疗机制:通过声应力转化电能促进细胞活动。

图2 STRAP制备与表征 (A) 顺序静电纺丝制备流程;(B) BP-ns与BTO-np粒径分布;(C) 纳米材料电镜图像;(D) 纤维膜形貌;(E) 红外光谱;(F) X射线衍射谱;(G) 差示扫描量热曲线;(H) 比表面积分析;(I) 应力-应变曲线;(J) 拉伸强度对比;(K) 循环拉伸稳定性。
光热实验表明,STRAP在808 nm激光(1.0 W/cm²)照射下15秒升温至60℃,触发PCL熔化并与组织胺基共价结合,粘附强度达17.96 kPa(比对照组高40%)。压电测试显示其电压常数d33达13.17 pC/N,超声刺激(40 mW/cm²)可产生251 mV电压。在猪肝出血模型中,STRAP联合光照使失血量降至0.12 g(对照组1.38 g),关键机制在于熔融态纤维形成密封屏障并激活凝血。

图3 物理特性与止血性能 (A,B) 光热升温曲线;(C) 猪皮粘附效果;(D) 粘附强度测试示意;(E) 粘附应力曲线;(F) 压电常数测量;(G) 电压分布模拟;(H,I) 超声发电性能;(J) 肝损伤止血模型;(K,L) 失血量定量。
STRAP+超声组促进小鼠胚胎成纤维细胞迁移能力提升3倍(Transwell实验),细胞增殖率超对照组40%。免疫调节实验表明,超声驱动的电刺激使巨噬细胞M2极化标志物IL-10和TGF-β1表达量翻倍,同时通过压电催化产生活性氧(ROS),5分钟内对金黄色葡萄球菌灭活率达97.83%。

图4 生物活性分析 (A,B) 细胞相容性;(C) 细胞粘附形态;(D) 细胞迁移实验;(E) 划痕愈合;(F) 细胞增殖曲线;(G) 巨噬细胞形态;(H) 免疫因子表达;(I,J) 抗菌效果;(K) 超声灭菌率。
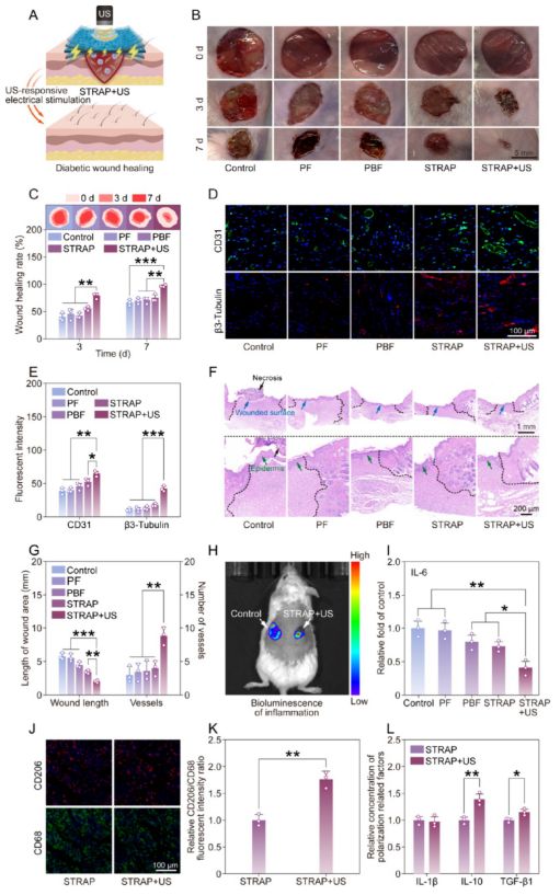
在糖尿病小鼠全层皮肤缺损模型中,STRAP+超声治疗组3天伤口闭合率达79%(对照组40%),7天达98%。免疫荧光显示CD31+血管密度增加2倍,神经再生标记β3-Tubulin表达提升3倍。转录组分析(图6)证实STRAP上调1630个促修复基因(如血管生成因子),下调1393个炎症基因(如Toll样受体通路)。

图5 糖尿病伤口愈合疗效 (A) 治疗机制示意图;(B) 伤口愈合过程;(C) 闭合率统计;(D) 血管/神经再生标记;(E) 荧光强度定量;(F) 组织切片(H&E染色);(G) 伤口宽度与血管计数;(H) 炎症成像;(I) IL-6水平;(J) 巨噬细胞标记;(K) M2极化定量;(L) 细胞因子水平。

图6 转录组分析 (A) 主成分分析;(B) 基因表达韦恩图;(C) 差异表达基因火山图;(D) 基因本体富集;(E) KEGG通路分析;(F) 组织再生相关基因热图。
在糖尿病小鼠盲肠磨损模型中,STRAP覆盖组14天粘连评分为0(对照组达3.2),大鼠和兔模型验证了零粘连效果。关键机制在于:光热粘附形成物理屏障,压电刺激上调TGF-β1抗炎因子(2倍)并降低TNF-α表达。胃损伤模型进一步证实其预防胃-肝粘连的有效性。

图7 防粘连性能(小鼠模型) (A) 作用机制;(B,C) 体内外电压输出;(D) 植入荧光追踪;(E) 盲膜植入示意;(F) 粘连对比;(G) 粘连评分;(H) 粘连组织染色;(I) IL-6水平;(J) TGF-β1/TNF-α mRNA表达。

图8 防粘连性能(大鼠/兔模型) (A) 大鼠植入示意;(B) 肠道粘连对比;(C) 粘连评分;(D) 组织染色;(E,F) 免疫荧光定量;(G) 兔植入示意;(H) 粘连表型;(I) 评分;(J) 组织学分析;(K,L) 因子表达。
STRAP通过仿生设计实现了止血、抗感染、促再生和防粘连的四重功能星空体育网站 星空体育首页协同,其完全生物降解特性避免了二次手术风险。相比传统防粘连膜(如Seprafilm),STRAP的光热-压电主动调控能力开创了动态适应伤口微环境的治疗新模式。该研究彰显了自然灵感驱动医学革新的巨大潜力,为糖尿病等难愈性伤口管理提供全新范式。
声明:仅代表作者个人观点,作者水平有限,如有不科学之处,请在下方留言指正!
