Nature大发现!破解牛磺酸促癌机制克服肿瘤耐药!
scRNA-seq捕获白血病进展4阶段(初始→终末),成骨细胞扩增3倍,CDO1(牛磺酸合成酶)表达飙升。

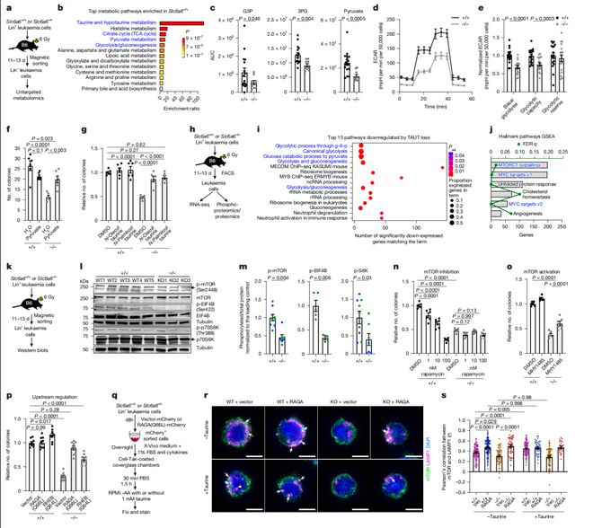
基质细胞CDO1合成牛磺酸(ELISA证实浓度↑200%);白血病细胞高表达TAUT(SLC6A6基因,AML中表达量↑5倍)。动物验证:TAUT敲除小鼠白血病进展延迟4周,肿瘤负荷降低70%

代谢崩溃:糖酵解中间产物骤降(3-磷酸甘油酸↓82%,丙酮酸↓76%)。能量危机:线%,ATP产量星空体育网站 星空体育首页腰斩。致命后果:白血病干细胞自我更新能力丧失(集落形成↓90%)

协同增效:单用Venetoclax:耐药AML细胞存活率78%。联用TAUT抑制剂:存活率暴跌至3%(协同指数0.15)。机制突破:TAUT高表达是Venetoclax耐药标志(AUC=0.89)

枢纽靶点:牛磺酸通过RAG-GTPase激活mTOR(磷酸化水平↑5倍)。逆转实验:表达持续激活型RAG(Q66L),可完全绕过TAUT缺失
该研究通过多组学技术破解白血病微环境的代谢密码:1、靶点:骨基质细胞是牛磺酸主要来源(非肝脏)。2、机制:TAUT-mTOR轴驱动白血病糖酵解成瘾。3、转化:TAUT抑制剂使耐药肿瘤重新敏感化,为50%难治性AML患者带来新希望,开启肿瘤微环境代谢治疗新时代。
