Puromycin(嘌呤霉素)是一种由白黑链霉菌(Streptomyces alboniger)产生的氨基核苷类抗生素,Puromycin(嘌呤霉素,AbMole,M3637)也是一种常用的蛋白质合成抑制剂,多用于转染筛选、蛋白翻译研究、动物造模等实验。
在细胞内,蛋白质的合成是一个极其复杂且高度有序的过程,而Puromycin(嘌呤霉素,AbMole,M3637)就如同一个“捣乱分子”可以干扰这一关键进程。它的作用靶点主要是核糖体,通过模拟氨酰化tRNA(aa-tRNA)的3末端结构,巧妙地混入蛋白质合成的“生产线”中。正常情况下,氨酰化tRNA携带特定的氨基酸进入核糖体的A位点,参与肽链的延伸。而嘌呤霉素由于其结构与氨酰化tRNA的3末端极为相似,能够以假乱真,代替正常的氨基酸进入核糖体。一旦Puromycin(嘌呤霉素)进入核糖体的A位点,核糖体肽基转移酶中心(PTC)就会将其催化掺入到新生肽链的C末端。然而,嘌呤霉素毕竟不是真正的氨基酸,它无法像正常的氨酰化tRNA那样参与后续的肽链延伸反应。这就如同在一条生产线上,突然混入了一个不符合标准的零件,导致整个生产流程被迫中断,翻译过程过早终止[1]。

细胞转染是指将外源核酸(如DNA、RNA等)导入真核细胞内的过程。科研人员通常可将含有抗嘌呤霉素的基因(如pac基因,编码嘌呤霉素N-酰转移酶)的载体与目的基因重组后转入宿主细胞中。pac可乙酰化Puromycin(嘌呤霉素,AbMole,M3637),使其失去对蛋白质合成的抑制活性,从而赋予细胞对嘌呤霉素的抗性。通过在细胞培养基中加入Puromycin,实验人员可以通过筛选获得成功转染的细胞。在具体操作中需进行预实验以确定最佳筛选浓度。
翻译水平的调节是重要的基因表达调控机制之一,涉及mRNA翻译因子、核糖体蛋白、RNA结合蛋白和非编码RNA的表达以及、和选择的调节变化。Puromycin(嘌呤霉素,AbMole,M3637)是一种研究蛋白翻译的重要工具,当在细胞培养体系中以低浓度加入嘌呤霉素时,它能够特异性地掺入到新合成的肽链中。这一过程就像是给上述肽链贴上了一个特殊的“标签”,科研人员可以通过追踪这个“标签”来了解蛋白质合成的动态过程,通过可以特异性识别Puromycin的抗体进行免疫印记和免疫荧光等方式检测蛋白翻译的动态过程。此外,基于嘌呤霉素的检测与邻位连接(PLA) 检测的结合(Puro-PLA),实验人员可以检测特异性mRNA的翻译。Puro-PLA:目的蛋白抗体和Puromycin的抗体各带有一段可以互补的核苷酸序列,当Puromycin作用于目的肽链上时,与目的蛋白的新生肽链间距较近,随后加入上述两种抗体,此时上述的两段核苷酸就会互补配对,随后通过滚环扩增(RCA)产生可检测的信号。

Puromycin(嘌呤霉素,AbMole,M3637)在构建动物模型,尤其是肾病模型方面,有着重要的应用。以构建肾病动物模型为例,嘌呤霉素能够直接损伤肾小球上皮细胞。当给实验动物(如大鼠)注射嘌呤霉素后,它会作用于肾小球上皮细胞,使细胞骨架、细胞外基质蛋白、细胞表面整星空体育登录入口 星空体育在线官网合素、硫酸化蛋白聚糖等物质发生结构和功能变化。同时,嘌呤霉素还会诱导肾小球固有细胞产生自由基,这些自由基会进一步破坏肾小球滤过膜,导致肾小球滤过膜的分子屏障功能降低。因此嘌呤霉素是一款经典的动物肾病实验造模剂[2]。
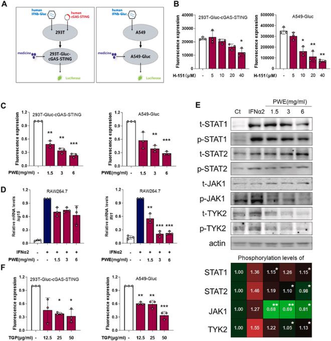
科研人员构建了一个荧光素酶(Gluc) 报告基因检测系统,以从中药配方SNS中鉴定具有抗I型IFN活性的成分。并在RAW264.7细胞中,采用实时PCR(RT-PCR) 和Western blotting研究I型IFN通路的变化。此外,在博来霉素(BLM,AbMole,M13641)诱导的小鼠硬化症模型中,通过RT-PCR测量纤维化基因、I型IFN相关基因、炎性细胞因子的表达,并通过H&E染色、Masson染色和免疫组织化学分析确定组织病理学变化。最终结果表明芍药总葡萄糖苷 (TGP) 是SNS的生物活性成分,它选择性抑制TLR3介导的I型IFN反应并阻断I型IFN诱导的下游JAK-STAT信号通路。在动物实验中,TGP通过抑制I型IFN信号传导上游和下游的多个靶点来改善皮肤纤维化。在构建荧光素酶检测系统中,科研人员使用了由AbMole提供的Puromycin(嘌呤霉素,AbMole,M3637)用于细胞转染后的筛选[3]。

科研人员在上述文章中探究了结直肠癌(CRC)对奥沙利铂(Oxaliplatin,AbMole,M2290)产生耐受性的机制,在实验中发现了KIAA1199可以促进CRC的奥沙利铂耐药。从机制上讲,KIAA1199可以通过连接O-GlcNAc转移酶(OGT)和底物蛋白来促进蛋白质的O-GlcNAcylation,进而可减轻内质网应激 (ERS) 并防止CRC细胞凋亡。同时,KIAA1199还可以通过O-GlcNAcylation稳定SNAI1蛋白来触发上皮间充质转化,促进CRC的转移。在实验设计中,科研人员还构建了KIAA1199和OGT敲低的稳定转染SW480和HCT116细胞,在筛选中使用了来自AbMole的Puromycin(嘌呤霉素,AbMole,M3637)[4]。

特别声明:以上内容(如有图片或视频亦包括在内)为自媒体平台“网易号”用户上传并发布,本平台仅提供信息存储服务。
中国留学生情侣澳洲偷生娃!10多年父母、朋友全蒙在鼓里!接生竟靠Google搜索...
“捏蛋姐”肠子都悔青了!说在她住的小区里的男人看到她时都下意识的停下脚步夹紧双腿
意大利3-2土耳其!23年后再夺女排世锦赛冠军,36连胜+1年连夺3冠
《编码物候》展览开幕 北京时代美术馆以科学艺术解读数字与生物交织的宇宙节律
IFA 2025直击:TCL展厅揭秘,“AI+家电”将如何改变我们生活?
